栏目
基于成本核算的公民捐献器官临床使用价格的制定与管理
李羽抒, 杨顺良
2021, 12(2): 123-128. DOI: 10.3969/j.issn.1674-7445.2021.02.001
摘要 HTML全文 PDF
中国肝移植术后并发症诊疗规范(2019版)
中华医学会器官移植学分会
2021, 12(2): 129-133. DOI: 10.3969/j.issn.1674-7445.2021.02.002
摘要 HTML全文 PDF
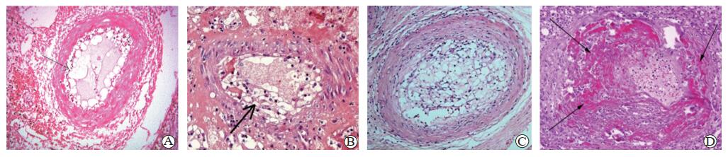
移植肾T细胞介导的排斥反应的病理学
郭晖
2021, 12(2): 134-142. DOI: 10.3969/j.issn.1674-7445.2021.02.003
摘要 HTML全文 PDF
2020年器官移植免疫学实验研究进展
田倩川, 吴昌鸿, 徐亚男, 赵勇
2021, 12(2): 143-154. DOI: 10.3969/j.issn.1674-7445.2021.02.004
摘要 HTML全文 PDF
2020年肾移植临床国际前沿热点及新进展荟萃
邵琨, 王祥慧
2021, 12(2): 155-168. DOI: 10.3969/j.issn.1674-7445.2021.02.005
摘要 HTML全文 PDF
2020年肾移植研究大盘点——来自中国的声音
罗子寰, 孙启全
2021, 12(2): 169-176. DOI: 10.3969/j.issn.1674-7445.2021.02.006
摘要 HTML全文 PDF
NLRP3炎症小体与相关炎症信号通路在肾缺血-再灌注损伤中的作用
袁强, 申开文, 张瑞波, 沈俊
2021, 12(2): 177-183. DOI: 10.3969/j.issn.1674-7445.2021.02.007
摘要 HTML全文 PDF
双肺移植治疗儿童囊性纤维化的多学科综合诊疗
王胜飞, 陈静瑜, 刘懿, 郑明峰, 毛文君
2021, 12(2): 184-190. DOI: 10.3969/j.issn.1674-7445.2021.02.008
摘要 HTML全文 PDF
磁压榨吻合技术实现犬腹主动脉人工血管置换快速无缝线吻合
刘仕琪, 慈红波, 雷鹏, 吕毅, 王善佩, 白纪刚
2021, 12(2): 191-196. DOI: 10.3969/j.issn.1674-7445.2021.02.009
摘要 HTML全文 PDF
肝移植术后多重耐药菌感染危险因素的单中心临床研究
方翊天, 吴若林, 黄帆, 王国斌, 冯丽娟, 余孝俊, 侯刘进, 叶征辉, 耿小平, 赵红川
2021, 12(2): 197-202. DOI: 10.3969/j.issn.1674-7445.2021.02.010
摘要 HTML全文 PDF
肺移植围手术期大量输血的危险因素及其预后分析
温焕舜, 郝杨, 陈静瑜, 梁朝阳
2021, 12(2): 203-208. DOI: 10.3969/j.issn.1674-7445.2021.02.011
摘要 HTML全文 PDF
DCD供肾灌注液生物标志物预测肾移植术后移植物功能延迟恢复的临床应用研究
李馨, 孙泽家, 蔡继飞, 王玮
2021, 12(2): 209-214. DOI: 10.3969/j.issn.1674-7445.2021.02.012
摘要 HTML全文 PDF
经皮腔内血管成形术联合支架置入治疗移植肾动脉狭窄的临床分析
顾世杰, 陈秋源, 崔瑞文, 马晴, 马麟, 石小红, 孟凡航, 曹荣华
2021, 12(2): 215-219. DOI: 10.3969/j.issn.1674-7445.2021.02.013
摘要 HTML全文 PDF
肺移植术后早期急性肾损伤的危险因素及预后分析
陈奥, 练巧燕, 张建恒, 徐鑫, 韦兵, 蔡宇航, 黄丹霞, 何建行, 巨春蓉
2021, 12(2): 220-225, 231. DOI: 10.3969/j.issn.1674-7445.2021.02.014
摘要 HTML全文 PDF
线粒体动力学调控对肾缺血-再灌注损伤的影响
闫晓冬, 王强
2021, 12(2): 226-231. DOI: 10.3969/j.issn.1674-7445.2021.02.015
摘要 HTML全文 PDF
成人供者双肾移植的临床应用及进展
张曼, 刘斌
2021, 12(2): 232-238. DOI: 10.3969/j.issn.1674-7445.2021.02.016
摘要 HTML全文 PDF
终末期心力衰竭合并可逆性肺动脉高压患者心脏移植指征的探讨
郑珊珊, 刘盛
2021, 12(2): 239-243. DOI: 10.3969/j.issn.1674-7445.2021.02.017
摘要 HTML全文 PDF
多囊肾囊内感染与肾移植
黎雪琳, 苗芸
2021, 12(2): 244-248. DOI: 10.3969/j.issn.1674-7445.2021.02.018
摘要 HTML全文 PDF